segunda-feira, 22 de novembro de 2010

CLASSIFICAÇÃO DOS TECIDOS

                                          CLASSIFICAÇÃO DOS TECIDOS


DIVISÃO CONTINUA (LÁBEIS)  CONTÍNUO PROCESSO DE PROLIFERAÇÃO
    EX:PELE,MUCOSA E MEDULA ÓSSEA

 

DIVISÃO ESTÁVEL (QUIESCENTE)  BAIXO POTENCIAL PROLIFERATIVO,MAS QUANDO ESTIMULADOS ENTRAM EM PROLIFERAÇÃO.
    EX:PARÊNQUIMA DO FIGADO, DO RIM E DO PÂNCREAS, CÉLULAS ENDOTELIAIS, FIBROBLASTOS E MÚSCULO LISO.



TECIDOS NÃO DIVISORES (PERMANENTES)  DIVIDEM-SE PREFERENCIALMETE NO PERÍODO EMBRIONÁRIO.
   EX: NEURÔNIOS E MÚSCULO CARDÍACO.

Reparo

                                                 O QUE É REPARO?

É A HABILIDADE QUE O CORPO POSSUI PARA SUBSTITUIR CÉLULAS LESIONADAS OU MORTAS E DE REPARAR OS TECIDO APÓS INFLAMAÇÃO.

                                                                TIPOS DE REPARO
CICATRIZAÇÃO, RESTAURAÇÃO DE ESTRUTURAS QUE ENVOLVE A DEPOSIÇÃO DE COLÁGENO E FORMAÇÃO DE CICATRIZ.

REGENERAÇÃO, SUBSTITUIÇÃO E OU DESTRUIÇÃO DA DISTRIBUIÇÃO  MATRIZ EXTRA CELULAR. TECIDOS COM ALTA CAPACIDADE DE PROLIFERATIVA.(EX: GASTRINTESTINAL, EPITÉLIOS, CUTÂNEOS, HEMATOPOÉTICO).


 DIFENCIAÇÃO DE REGENERAÇÃO PARA CICATRIZAÇÃO: A REGENERAÇÃO REQUER O TECIDO CONJUNTIVO INTACTO,SEM DANOS NA MATRIZ EXTRA CELULAR, E A CICATRIZAÇÃO ACONTECE MESMO SE A ESTRUTURA DA MATRIZ EXTRA CELULAR ESTIVER DANIFICADA.


CICATRIZAR OU REGENERAR?
TUDO VAI DEPENDER DE ALGUNS FATORES COMO:
EXTENSÃO DA LESÃO.
MANUTENÇÃO DA MEMBRANA BASAL.
ÓRGÃO LESADO.

sábado, 30 de outubro de 2010

CICATRIZAÇÃO E REGENERAÇÃO

A CICATRIZAÇÃO E A REGENERAÇÃO SÃO ENQUADRADOS EM PROCESSOS INFLAMÁTORIOS,MECANISMO DE DEFESA CONTRA AGENTES AGRESSORES,SIMULTÂNEAMENTE SE DÁ ÍNICIO AOS MECANISMOS DESENCADEADORES DE CICATRIZAÇÃO E REGENERAÇÃO.
  

EXEMPLOS: PNEUMONIA-------------------------INFLAMAÇÃO
                      CORTE DA PELE---------------------TRAUMA SEGUIDO DE INFLAMAÇÃO
                      ENFARTE DO MIOCÁRDIO--------NECROSE ISQUÊMICA SEGUIDA DE INFLAMAÇÃO.
  SÃO COMUNS O PROCESSO INFLAMATÓRIO,O QUE VAI DIFERIR É O AGENTE AGRESSOR.


O REPARO PROCESSA-SE DE DUAS FORMAS:
1)REGENERAÇÃO
2)CICATRIZAÇÃO
SE A REPARAÇÃO SERÁ REGENERAÇÃO OU CICATRIZAÇÃO,ISSO DEPENDE-RÁ:DA EXTENSÃO DA LESÃO E ÓRGÃO LESIONADO.

                                                                      

                                                                REPARO



              REGENERAÇÃO                                               CICATRIZAÇÃO

       PROCESSO PELO QUAL AS CELULAS               PROCESSO EM QUE AS CÉLULAS LESA-
QUE MORREM,DEVIDO AGRESSÃO,SÃO              DAS NÃO SÃO SUBSTÍTUIDAS POR CÉLU- 
SUBSTITUIDAS PELAS CELULAS DO PAREN-      LAS PARAQUIMENTOSAS,MAS POR TECI-
QUIMENTOSAS NO MESMO ÓRGÃO.                    DO FIBROSO:CICATRIZ.


OBS:NO MESMO TECIDO PODE HAVER REGENERAÇÃO E CICATRIZAÇÃO.

OS TECIDOS SÃO CLASSIFICADOS DE ACORDO COM SUA CAPACIDADE DE PROLIFERAR,CAPACIDADE DAS CÉLULAS ENTREREM NO CICLO CELULAR,NÃO NO PERÍODO EMBRIONÁRIO,MAIS NO PERÍODO DA VIDA ADULTA.


CLASSIFICAÇÃO DOS TECIDOS/CÉLULAS DE ACORDO COM O POTENCIAL PROLIFERATIVO:

Lábeis:  células que estão em contínuo processo de proliferação
                   Ex: pele, mucosa e medula óssea

Estável:  células quiescentes com baixo potencial proliferativo, mas quando
                   estimuladas entram em proliferação

Ex: parênquima do fígado, do rim e do pâncreas, células
      endoteliais, fibroblastos e músculo liso
 
Permanentes: dividem-se preferencialmente no período embrionário
                                Ex: neurónios e músculo cardíaco .


LENDA DE PROMETEU-REGENERAÇÃO

 História
 
Segundo Hesíodo foi dado a Prometeu e seu irmão Epimeteu a tarefa de criar os homens e todos os animais. Epimeteu encarregou-se da obra e Prometeu encarregou-se de supervisioná-la. Na obra, Epimeteu atribuiu a cada animal os dons variados de coragem, força, rapidez, sagacidade; asas a um, garras outro, uma carapaça protegendo um terceiro, etc. Porém, quando chegou a vez do homem, formou-o do barro. Mas como Epimeteu gastara todos os recursos nos outros animais, recorreu a seu irmão Prometeu. Este então roubou o fogo dos deuses e o deu aos homens. Isto assegurou a superioridade dos homens sobre os outros animais. Todavia o fogo era exclusivo dos deuses. Como castigo a Prometeu, Zeus ordenou a Hefesto que o acorrentasse no cume do monte Cáucaso, onde todos os dias uma águia (ou corvo) dilacerava seu fígado que, todos os dias, regenerava-se. Esse castigo devia durar 30.000 anos.
Prometeu foi libertado do seu sofrimento por Hércules que, havendo concluído os seus doze trabalhos dedicou-se a aventuras. No lugar de Prometeu, o centauro Quíron deixou-se acorrentar no Cáucaso, pois a substituição de Prometeu era uma exigência para assegurar a sua libertação.

quarta-feira, 22 de setembro de 2010

APOPTOSE

Apoptose:
Também chamada de morte celular programada em virtude do seu mecanismo envolver  a degradação do DNA e das proteínas celulares segundo um programa celular específico. Nesta forma de morte celular não há vazamento de proteínas através da membrana celular, ocorrendo fagocitose da célula apoptótica sem inflamação local.A apoptose pode ser fisiológica ou patológica.Exemplos de apoptose fisiológica são a destruição programada de células durante a embriogênese e a involução mamária após a lactação.A apoptose patológica ocorre em condições tais como  hepatite por vírus (hepatócitos apoptóticos), atrofia acinar após a obstrução de ductos glandulares e destruição de células lesadas por radiação.
Morfologicamente as células apoptóticas diminuem de tamanho, exibem cromatina condensada formando agregados próximos à membrana nuclear. A seguir há formação de corpos apoptóticos (fragmentos celulares), percebendo-se finalmente a fagocitose das células ou de seus fragmentos por macrófagos, sem inflamação.

Os mecanismos bioquímicos da apoptose compreendem a clivagem de proteínas por hidrólise  que envolve as caspases (proteases), que normalmente acham-se contidas nas células sob forma de pró-enzimas. Estas enzimas não só hidrolisam proteínas mas também ativam DNAses, que degradam o DNA nuclear. Mudanças na membrana plasmática das células apoptóticas que passam a expressar determinadas substâncias químicas (fosfatidilserina), as tornam precocemente alvo de fagocitose pelos macrófagos, sem a liberação de substâncias que produziriam inflamação local e portanto maior lesão tecidual.

NECROSE CASEOSA


NECROSE CASEOSA: é uma forma diferente de necrose de coagulação, na qual o tecido se torna branco e amolecido. É habitualmente encontrada na tuberculose.

Necrose:
Necrose é o conjunto de alterações morfológicas que se seguem à morte celular em um organismo vivo. É sempre patológica.
  
As membranas das células necróticas perdem a sua integridade, ocorrendo extravasamento de substâncias contidas nas células. Isto tem importância clínica pois algumas delas são especialmente abundantes em determinados tipos celulares. Estas substâncias entram na corrente circulatória, podendo ser detectadas e interpretadas como evidência de morte celular.



Como conseqüência da necrose ocorre inflamação nos tecidos adjacentes para a eliminação dos tecidos mortos e posterior reparo. Durante este processo inflamatório acumulam-se leucócitos na periferia do tecido lesado, que liberam enzimas úteis na digestão das células necróticas.

 O aspecto morfológico da necrose resulta da digestão das células necróticas por suas próprias enzimas (autólise) ou de enzimas derivadas dos leucócitos (heterólise).
 
A necrose ocorre após a morte da célula, razão pela qual a capacidade de diagnostica-la morfologicamente varia de acordo com o método de observação.

quinta-feira, 9 de setembro de 2010

SISTEMAS ENZIMÁTICOS

SISTEMAS ENZIMÁTICOS DOS FLUIDOS CORPÓREOS.

SÃO ATIVADOS EM PROCESSO DENOMINADO ATIVAÇÃO EM CASCATA.


  • SISTEMA DE COAGULAÇÃO - COAGULAÇÃO SANGUÍNEA E TAMBÉM APRESENTA A FUNÇÃO DE LIMITAR A EXPANSÃO DO AGENTE AGRESSOR.
  • SISTEMA FIBRINOLÍTICO - CONTROLA A FORMAÇÃO EXCESSIVA DE TROMBOS FORMADOS.
  • SISTEMA DE CININAS - ESTIMULA ALTERAÇÕES VASCULARES E É RESPONSÁVEL PELA DOR NA INFLAMAÇÃO.
  • SISTEMA COMPLEMENTO - PROMOVE LISE DO AGENTE AGRESSOR,ESTIMULA ALTERAÇÕES VASCULARES E INFILTRAÇÃO CELULAR.



  EFEITOS SISTÊMICOS DA INFLAMAÇÃO:
  • AUMENTO DO SONO
  • DIMINUIÇÃO DO APETITE
  • HIPOTENSÃO
  • AUMENTO DA DEGRADAÇÃO PROTEÍCA.


INFLAMAÇÃO

A inflamação é uma reação do organismo frente a uma infecção ou lesão dos tecidos. Num processo inflamatório a região afetada fica avermelhada e quente, isto ocorre devido a um aumento do fluxo do sangue. Ocorre ainda inchaço e hipersensibilidade como resultado da infiltração de líquidos nos tecidos locais, aumentando, assim, a tensão da pele.

Na dor localizada participam certas substâncias químicas produzidas pelo organismo. Dentro da área inflamada ocorre o acúmulo de células provenientes do sistema imunológico (leucócitos, macrófagos e linfócitos).
O exudato(pus) é rico em proteínas e purulento,é um líquido inflamatório extravascular.

A dor - depende do acúmulo sobre as terminações nervosas.
O calor e rubor - resulta do aumento da circulação na área inflamada.
O tumor - aumento local de líquido intersticial.

A perda de funções são consequências do edema e da dor.

A inflamação aguda,é aquela que dura desde poucos minutos até poucos dias,e predominam os fenômenos exsudativos. E as principais células são os neutrófilos e eosinófilos.
 


 FASES DA INFLAMAÇÃO :


ALTERATIVA: TECIDO DESTRUIDO POR UMA QUEIMADURA.
EXUDATIVA: ALTERAÇÕES VASCULARES.
PRODUTIVA: PROLIFERAÇÃO LOCAL DE VASOS E CÉLULAS.







sábado, 4 de setembro de 2010

EXEMPLOS DE PIGMENTAÇÃO EXÓGENA

PIGMENTAÇÃO EXÓGENA: Pigmentação por pigmentos de origem externa ao corpo.



Esse pigmentos podem penetrar no organismo juntamente com o ar inspirado, com alimentos deglutidos ou até mesmo por via parenteral (injeções e tatuagens). Os pigmentos se depositam em geral nos pontos dos primeiros contatos com a mucosa ou pele, podendo ali ficar ou ser eliminados/transportados para outros locais como a circulação sanguínea e linfática, ou por macrófagos.






A pigmentação exógena pode ser dividida nos seguintes tipos:






Antracose:

São pigmentações por sais de carbono. Dos pigmentos inalados o mais frequente é a poeira do carvão. A antracose é encontrado nos fumantes e em todos os invidíduos, principalmente adultos e idosos, moradores das grandes cidades que são expostos a um grau de poluição.

Sendo comum sua passagem por vias aéreas chegando aos alvéolos, os pigmentos são fagocitados pelos macrófagos alveolares, transportados através dos vasos linfáticos aos linfonodos regionais. O acúmulo de pigmentos que não são lisados, produz uma coloração negra nas partes afetadas, sob formas de manchas irregulares no parênquima do pulmão. A antracose em si, não gera grandes problemas, mas sua evolução pode originar disfunções pulmonares graves, principalmente em trabalhadores que estão expostos à poeira do carvão frequentemente.

Siderose:
 Pigmentação por óxido de ferro. Atinge o pulmão por inalação de partículas de ferro. Atingem principalmente trabalhadores de mineradoras de hematita, soldadoras e trabalhadores que manipulam pigmentos com óxido de ferro.

Argíria:
São pigmentações por sais de prata nos tecidos. Geralmente é oriunda por contaminação sistêmica por medicação, manifestando-se na pele e na mucosa bucal. Cor: acinzentada e azul- escuro, e enegrecida se a prata sofrer redução.



Bismuto:
Atualmente é raro de ser visto, sendo comum na terapia para sífilis. Cor: Enegrecida.



Tatuagem:
 É uma forma de pigmentação exógena usualmente limitada à pele, na qual resulta da introdução de pigmentos insolúveis na derme, acidental ou propositalmente. As tatuagens são permanentes ou transitórias, conforme o pigmento seja introduzido na derme ou no estrato córneo da epiderme.É feita por sais de enxofre, mercúrio, ferro e entre outros corantes. A cor varia do tipo de pigmento presente.





Saturnismo: Contaminação por sais de chumbo. Cor: azulada ou negra dependendo da profundidade do tecido onde se encontra.

Pigmentação

                                                      PIGMENTAÇÃO

A pigmentação é um processo de formação ou acúmulo,normal ou patológico de pigmentos em certos locais do organismo.
O acúmulo anormal de pigmentos ou a sua diminuição também são indicativos de que a célula sofreu agressões. Uma pigmentação anormal é mais um sinal de perda da homeostase e da morfostase celular, portanto, é patológica.



A pigmentação patológica pode ser exógena, cujos pigmentos são de origem externa ao organismo, ou endógena, formada a partir de pigmentos naturais do corpo.



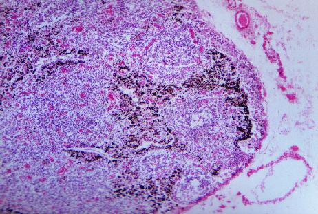
Descrição:
Processo Patológico Geral:  Pigmentação Patológica Exógena


Órgão ou Tecido: Linfonodo


Diagnóstico: Antracose


Dos pigmentos inalados, o mais frequente é o carvão, cuja deposição causa a antracose, encontrada em indivíduos que moram em cidades onde há certo grau de poluição ambiental. Uma vez inalado, o pigmento é fagocitado pelos macrófagos alveolares e transportado através dos linfáticos aos linfonodos regionais.































sábado, 21 de agosto de 2010

Necrose

NECROSE



PICNOSE: O NÚCLEO TORNA-SE PEQUENO E BASOFICO,  (CESSAÇÃO DA TRANSIÇÃO DE DNA).







CARIORREXE: FRAGMENTAÇÃO DO NÚCLEO,                
(EM SEGUIDA OCORRE ROMPIMENTO DAS MEMBRANAS INTERNAS).







CARIÓLISE: FRAGMENTAÇÃO TOTAL DO NÚCLEO.

Heterofagia

                        Heterofagia

Heterofagia é um processo de digestão celular no qual os lisossomos fundem-se com vesículas de material nutritivo englobado por fagocitose ou pinocitose.




heterofagia constitui um dos mecanismos celulares de captação de matéria, quando esta se encontra em condições físicas,como o volume, incompatíveis com os mecanismos de transporte transmembranar.



Este tipo de digestão ocorre, por exemplo, no processo de remodelação dos tecidos ósseo e cartilagíneo.

As pequenas moléculas resultantes da digestão são, em seguida, absorvidas pela célula, com recurso aos mecanismos habituais de transporte transmembranar.

Autofagia

        Autofagia
É um processo essencial para o funcionamento da célula.



A autofagia constitui uma das funções principais dos lisossomas. Com efeito, regendo-se o funcionamento da célula, por rigorosos princípios de economia que não autorizam o desperdício de recursos, as estruturas envelhecidas ou desajustadas das necessidades, são eliminadas e os seus componentes, recuperados e utilizados na síntese de novas moléculas ou na edificação de novas estruturas. A célula mobiliza, para esta reciclagem de materiais, mecanismos idênticos aos que emprega para digerir as substâncias.


A autofagia pode ser estimulada em determinadas situações, como, por exemplo, durante o jejum prolongado, aparecendo numerosos autofagossomos nos hepatócitos com o objetivo de converter os componentes da célula em alimento para prolongar a sobrevivência do organismo.









domingo, 15 de agosto de 2010


  • Isquemia(do grego, isch- restrição, hema ou haema de sangue) é a falta de suprimento sangüíneo para um tecido orgânico. Como o sangue, através das hemácias (glóbulos vermelhos) é o responsável por levar o oxigênio às células, a isquemia dá origem à hipóxia.


  • Hipóxia significa baixo teor de oxigênio. Trata-se de um estado de baixo teor de oxigênio nos tecidos orgânicos cuja ocorrência é atribuída a diversos fatores. Ela pode ser causada por uma alteração em qualquer mecanismo de transporte de oxigênio, desde uma obstrução física do fluxo sangüíneo em qualquer nível da circulação corpórea, anemia ou deslocamento para áreas com concentrações baixas de oxigênio no ar.



  • O termo hiperplasia é usado quando se quer mencionar o aumento do número de células num órgão ou num tecido.


  • O termo hipertrofia  para indicar o aumento do número de células num orgão ou tecido.


  • Atrofia é a diminuiçao do tamanho da célula


  • Metaplasia é quando um tecido adulto se transforma em outro tecido adulto.


  • Displasia é o desarranjo de um grupo de células do tecido,geralmente é ocasionado pela iniciação de canceres.


sábado, 14 de agosto de 2010

Causas das Lesões Celulares

                                                       LESÃO CELULAR
REVERSÍVEL:  Alterações celulares que podem ser restauradas à normalidade,se retirado o estimulo nocivo ou se não muito grave.

IRREVERSÍVEL:  Ocorre quando excede a capacidade da célula em se adaptar,levando a alterações permanentes.


                                 CAUSAS:
  • HIPOXÍA
  • AGENTES FÍSICOS
  • AGENTES QUÍMICOS E DROGAS
  • AGENTES INFECCIOSOS
  • REAÇÕES IMUNOLÓGICAS
  • DISTÚRBIOS GENÉTICOS
  • DESEQUILÍBRIO NUTRICIONALAGENTES FÍSICOS
  • AGENTES QUÍMICOS E DROGAS
  • AGENTES INFECCIOSOS
  • REAÇÕES IMUNOLÓGICAS


HIPÓXIA: Afeta a respiração aeróbia e a capacidade de gerar ATP.

Causas:
  • Isquemia(perda do suprimento sanguíneo).
  • Oxigenação inadequada(insuficiência cardiorrespiratória)
  • Perda da capacidade carreadora de oxigênio para o sangue(anemia,intoxicação monóxido de carbono).
  • AGENTES FÍSICOS:Traumas,calor,frio,radiação.
  • AGENTES QUÍMICOS E DROGAS:Drogas terapêuticas,venenos,álcool,narcóticos.
  • AGENTES INFECCIOSOS:Virus,fungos,parasitos.
  • REAÇÕES IMUNOLÓGICAS:Doenças auto-imunes,lesão celular em resposta a inflamação.


                                                    Mecanismos:
  • Bioquímicos
  • Intracelulares
  • Diminuição do ATP
  • Dano mitocondrial
  • Influxo celular e perda da homeostasia do cálcio.
  • Acúmulos de radicais livres derivados de oxigênio.
  • Defeitos da permeabilidae da membrana.

Amiloidose

Amiloidose é uma patologia na qual ocorre acúmulo, em vários tecidos de amilóide.
Essa doença é sistêmica (acomete vários orgãos) causada pela superprodução de imunoglobulina monoclonal de cadeia leve tipo Kappa.

Amiloides são fibrilas proteicas que podem depositar em vários tecidos e orgãos do corpo humano,comprometendo o seu bom funcionamento.Prejudicando os  tecidos,epitelial, ósseo, muscular, e órgãoscomo os,rins, pulmões, coração, intestino, cérebro.

 A amiloidose é uma complicação que pode ocorrer em 5% a 10% dos pacientes portadores de mieloma múltiplo. Essa complicação pode envolver o tecido cardíaco, os rins e os nervos. O acometimento cardíaco atinge o miocárdio, sendo responsável pelo desenvolvimento de insuficiência cardíaca congestiva e, às vezes, alterações do tecido de condução. Nos rins leva a insuficiência renal em 1-2 anos.

Há três tipos de amiloidose:

Amiloidose Primária:  que tem causa desconhecida, podendo estar associada a alterações das células plasmáticas, como o mieloma múltiplo.



Amiloidose Secundária:   resulta de outras doenças como a: 
Tuberculose, infecções dos ossos, artrite reumatóide, febre familiar do Mediterrâneo ou ileíte granulomatosa.


Amiloidose Hereditária: afecta os nervos e certos órgãos e foi detectada em indivíduos provenientes de Portugal, da Suécia, do Japão e de muitos outros países.

Uma quarta forma  esta associada ao envenlhecimento,afetando principalmente o coração.

O diagnóstico é histológico, com a demonstração do depósito amilóide nos tecidos por meio da coloração do vermelho-congo e de exames ópticos que utilizem a luz polarizada. O amilóide se apresenta como depósitos amorfos, eosinofílicos e extracelulares nos glomérulos, ao longo dos túbulos e nos vasos renais.

O prognóstico é diverso, indo desde a inofensividade até à doença terminal.

Tratamento – O melfalano e a quimioterapia com prednisona, direcionados ao clone anormal de células B, se mostram benéficos em alguns pacientes.